Informacija dalyviams
Dalyvavimas konkurse
- I etapas.Nuo 07.10 iki 10.01 d., dalyviai siunčia savo darbų nuotraukas „prieš“ ir „po“ procedūrų (4-5 atvejai), kurios bus talpinamos konkurso tinklalapyje www.estetiko.lt, bei socialiniame tinkle „Facebook“, estetinio plombavimo konkurso „Estetiko“ paskyroje. Prie kiekvieno atvejo, galėsite matyti trumpus komisijos narių komentarus. Komisijai atrinkus kokybiškiausiai atliktų darbų nuotraukas, jų autoriai bus kviečiami dalyvauti estetinio plombavim konkurso finale ir varžytis dėl prizinių vietų bei geriausiojo vardo. Konkurse dalyvauti gali tik gydytojai, turintys patirties dirbant su restauracinėmis plombinėmis medžiagomis.
Konkurso nuostatos:
- Konkursui pateikti estetinio plombavimo atvejai, turi būti atlikti tik pačio gydytojo.
- Pirmam etapui gydytojas gali rinktis jam patinkančią restauracinę medžiagą, poliravimo sistemą.
- Antro etapo metu (konkursui vykstat odontologijos klinikoje „Neodenta“) bus dirbama su „Heraeus“ plombinėmis medžiagomis.
Pirmam etapui privaloma atsiųsti ne mažiau 4 atvejų fotografijas atliktas pagal dantų fotografavimo taisykles:
- Siųsti tik aukštos rezoliucijos fotografijas, 10×15 cm;
- Fotografijas siunčiant el. paštu - ne mažesnes nei 2Mb dydžio;
- Nuotraukose „Prieš“ ir „Po“, turi aiškiai matytis restauruojami dantys;
- Nuotraukos turi būti spalvotos, vaizdas aiškiai sufokusuotas;
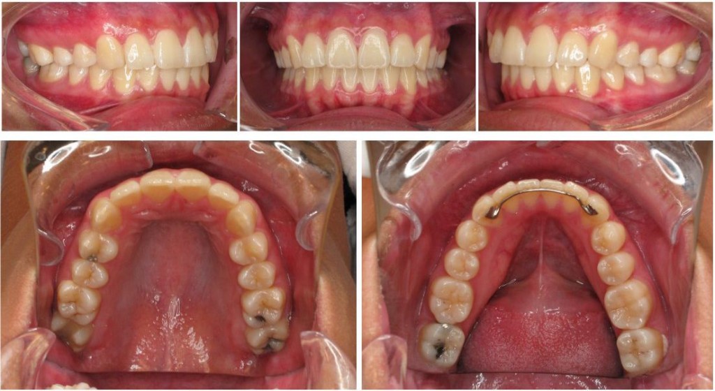
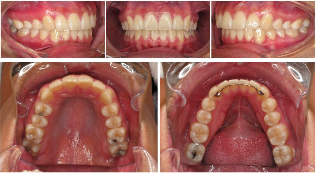
*Rekomenduojami nuotraukų pavyzdžiai:
Nuotraukos gali būti siunčiamos tiek skaitmeniniame, tiek spausdintiniame variante. Nuotraukas siųsti el. paštu: estetiko@estetiko.lt
arba adresu:
Baltų pr. 49A, Kaunas, LT-48233
Tik gavus patvirtinimą apie nuotraukų gavimą iš organizatoriaus, gydytojas dalyvauja konkurse.
Negavus patvirtinimo, prašome skubiai susisiekti su organizatoriais :
Tel. +37061859702,,
Galutinį nuotraukų vertinimą sudarys:
80% – komisijos narių vertinimas;
20% – konkurso „Facebook“ paskyroje patalpintų nuotraukų surinkti „Patinka“ (ang. „Like“) paspaudimai.
Atrinkus kokybiškiausiai atliktų darbų nuotraukas, jų autoriai bus kviečiami dalyvauti estetinio plombavimo konkurso finale ir varžytis dėl prizinių vietų bei geriausiojo vardo.
II etapas. 2025.11.22 d. susumavus rezultatus, komisija atrinks 6* geriausiai estetinį plombavimą atlikusius gydytojus. Atrinkti finalininkai su pacientu dirbs „Neodentos“ klinikos paruoštuose kabinetuose turėdami po vieną asistentą. 8 valandų bėgyje, neįskantant pietų pertraukos, gydytojas su asistentu turės atlikti 3-4 dantų restauracijas. Būtina laikytis visų higienos taisyklių: pirštinės, koferdamo naudojimas, (koferdamą galės padėti užsidėti komisijos nariai).
Konkursų pradžia – 9 val.
Pietų pertrauka – 13 – 14 val.
Konkursų pabaiga – 18 val.
- Estetinio plombavimo vertinimo kriterijai:
|
Darbų kokybė bus įvertinama tą pačią dieną. Galutinės fotografijos atliktos praėjus 3-4 dienoms po restauracijų atlikimo.
Konkurso eiga, galutinės nuotraukos bus publikuojamos konkurso tinklalapyje www.estetiko.lt, bei socialiniame tinkle „Facebook“, estetinio plombavimo konkurso „Estetiko“ paskyroje.
Susumavus rezultatus, išrenkami trys geriausiai pasirodę gydytojai, kurie bus apdovanoti prizais įsteigtais už I, II, III vietas. Likusieji dalyviai taip pat nebus pamiršti – jiems bus įteikti prizai už dalyvavimą.
Prizai:
- I vietos nugalėtojas bus apdovanotas įspūdinga kelione į JAV estetinių restauracijų kursus, „Quintessence“ knyga, 500Lt čekiu medžiagoms įsigyti bei kitais prizais.
- II vietos laimėtojui bus įteikta polimerizacinė LED lempa, „Quintessence“ knyga, 300Lt čekis.
- III vietai - polimerizacinė LED lempa, „Quintessence“ knyga, 100Lt čekis medžiagoms. Visi likusieji dalyviai taip pat bus apdovanoti vertingais prizais.

