Nuotraukos
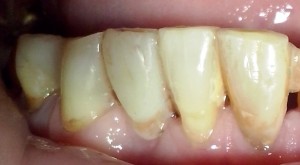
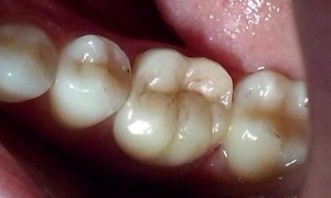
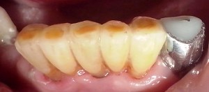
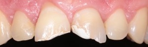
Džiaugiamės ir didžiuojamės sulaukę tokio didelio susidomėjimo konkursu. Norime visiems padėkoti už atsiųstus „prieš“ ir „po“ atvejus, Jūs jau turite realų šansą laimėti šį unikalų estetinio plombavimo konkursą. Visos dalyvių nuotraukos yra išsiųstos vertinimui komisijos nariams. Spalio 15 dieną bus paskelbti 6-12 laimingųjų, kurie varžysis dėl geriausiojo vardo! Visų dalyvių darbų nuotraukos publikuojamos facebook estetinio plombavimo „Estetiko“ paskyroje. Balsuokite už labiausiai Jums patikusias nuotraukas!
Kviečiame vertinti gydytojų odontologų estetinio plombavimo darbų nuotraukas „prieš“ ir „po“ facebook estetinio plombavimo „Estetiko“ paskyroje.
Galutinį nuotraukų vertinimą sudarys:
80% – komisijos narių vertinimas;
20% – konkurso „Facebook“ paskyroje patalpintų nuotraukų surinkti „Patinka“ (ang. „Like“) paspaudimai
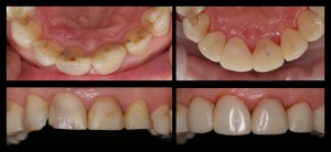
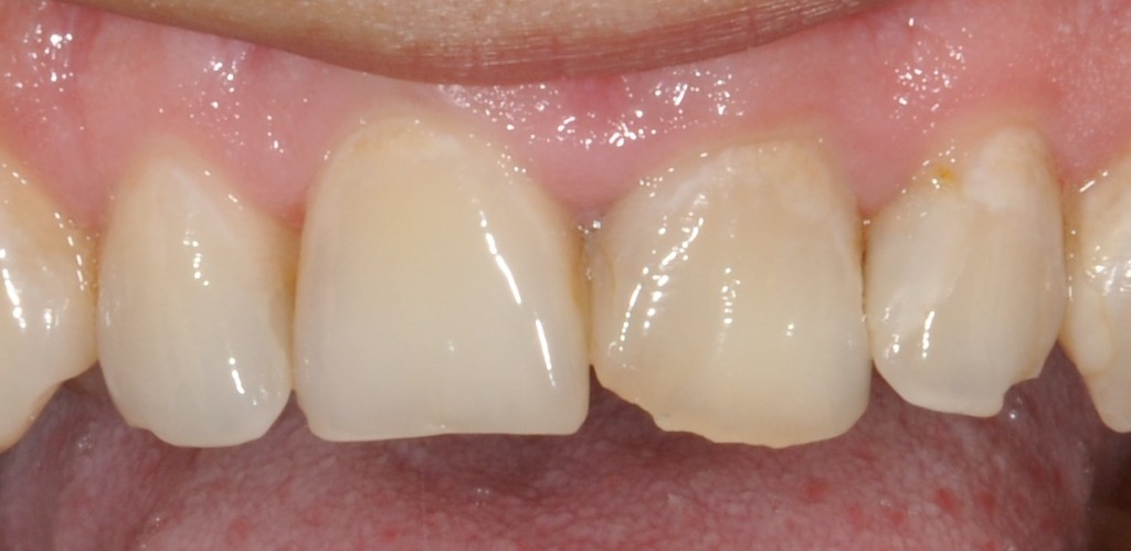
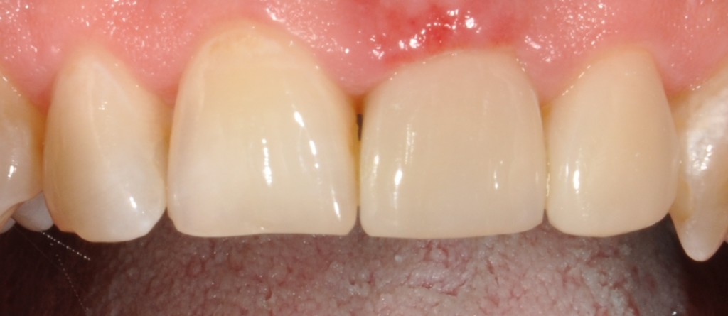
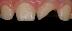
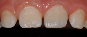
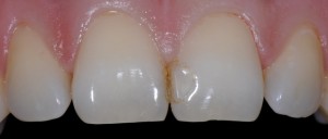
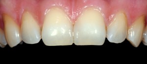
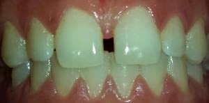
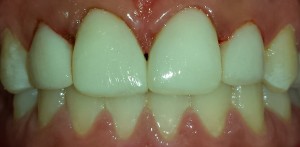
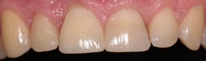
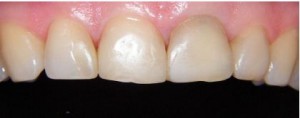
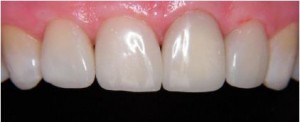
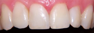
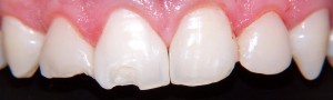
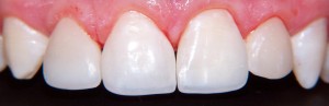
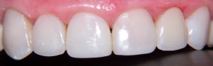
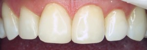
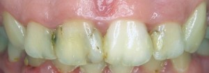
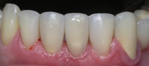
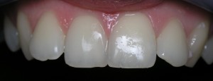
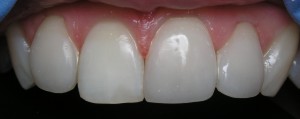
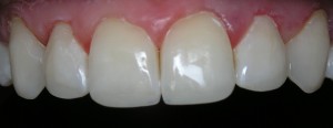
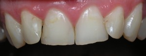
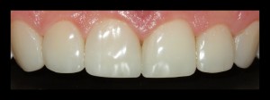
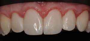
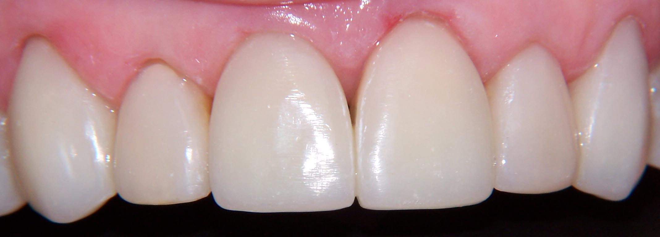
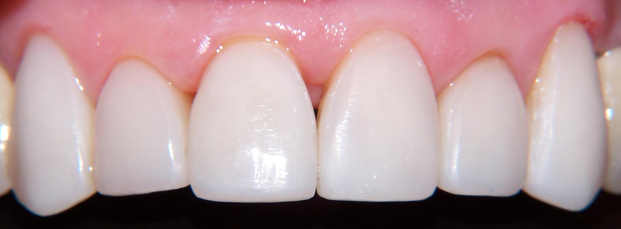
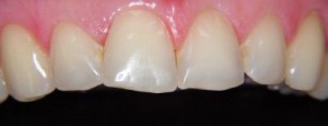
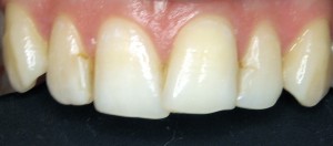
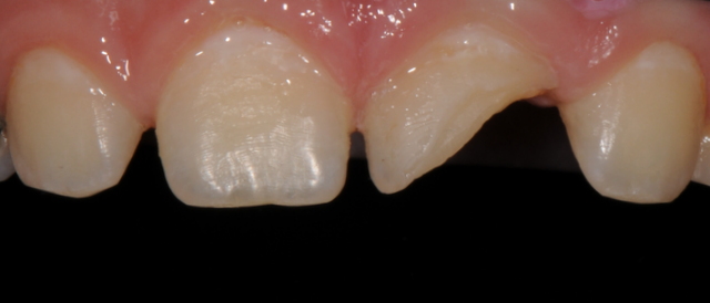
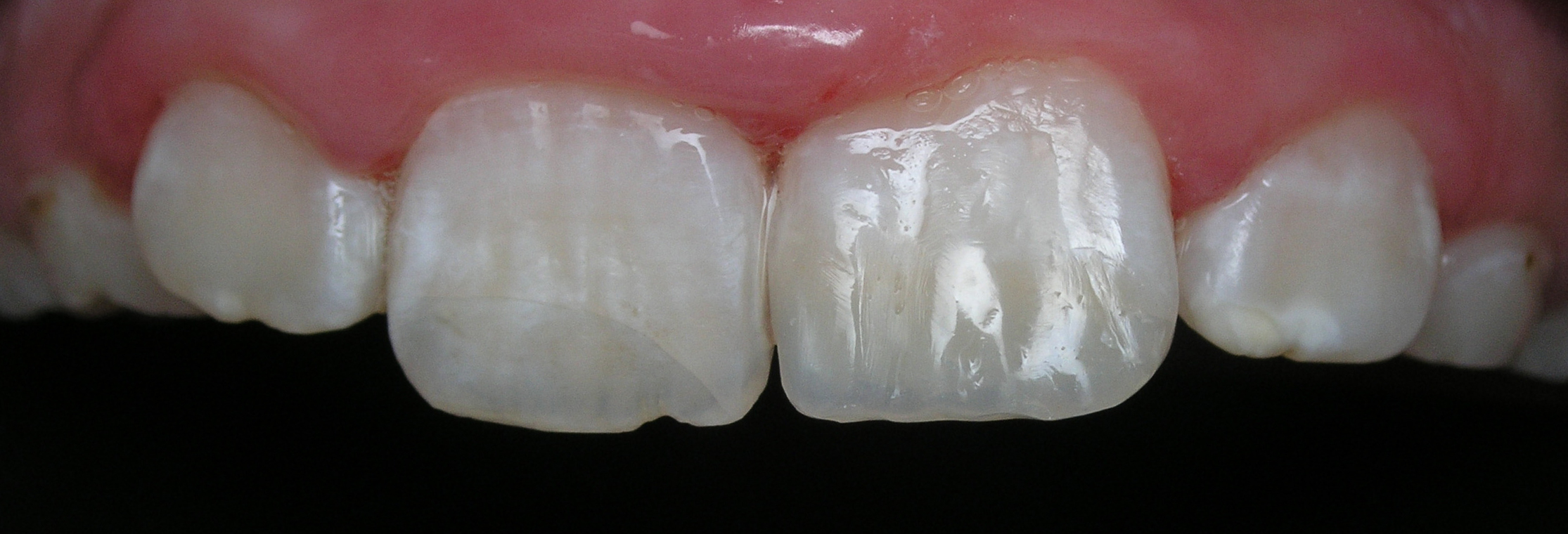
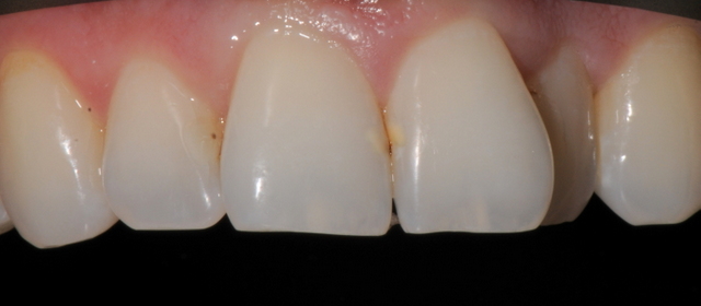
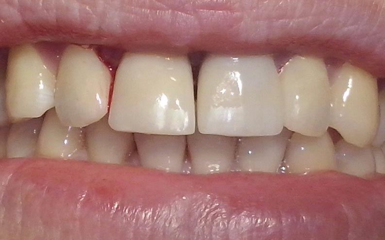
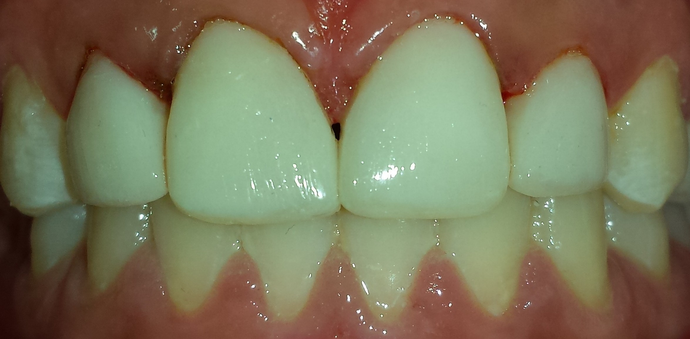
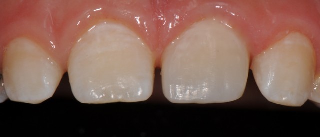
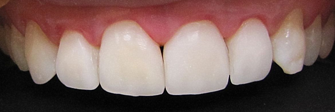
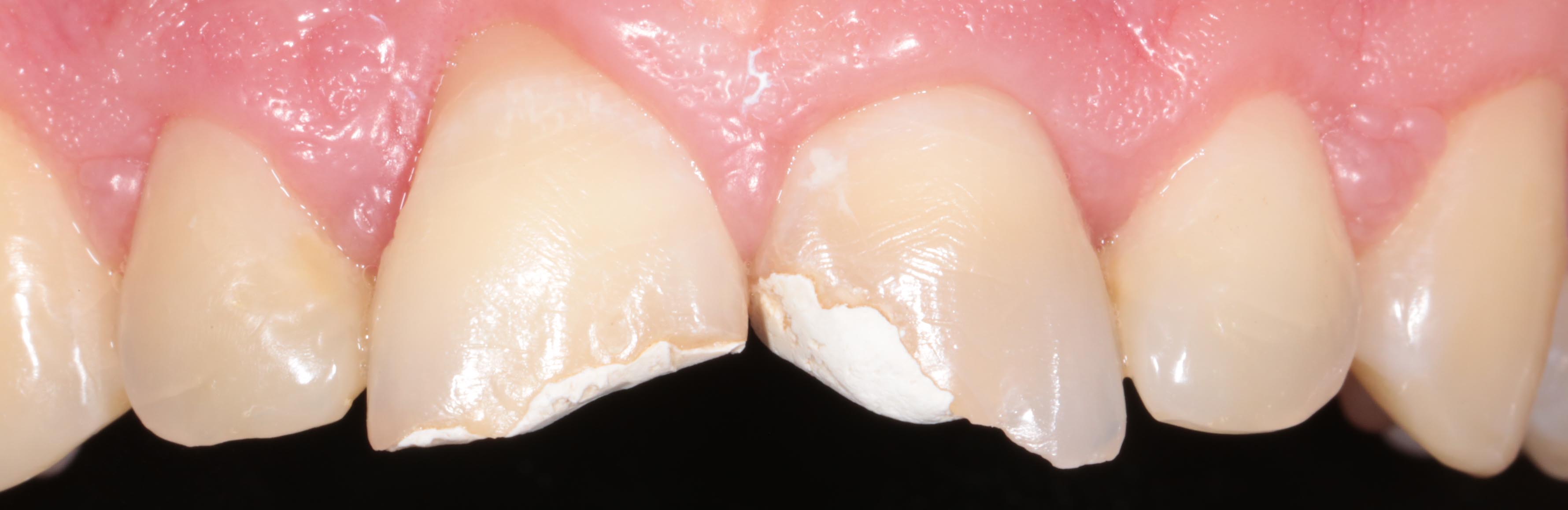
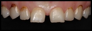
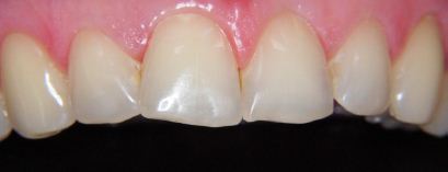
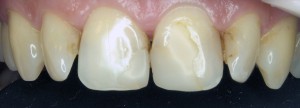
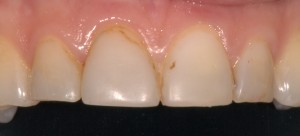
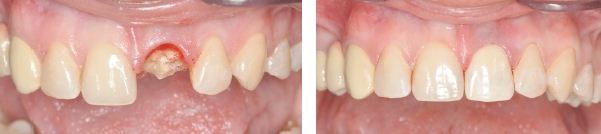
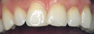
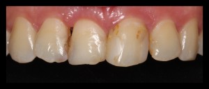
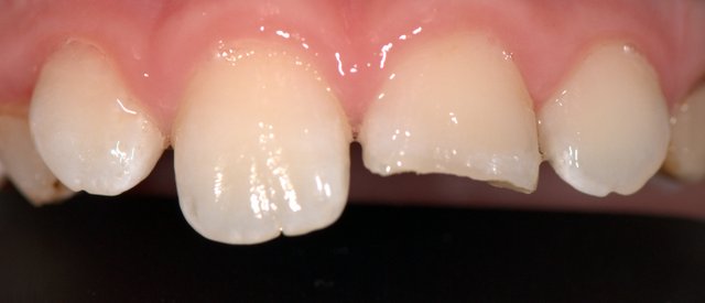
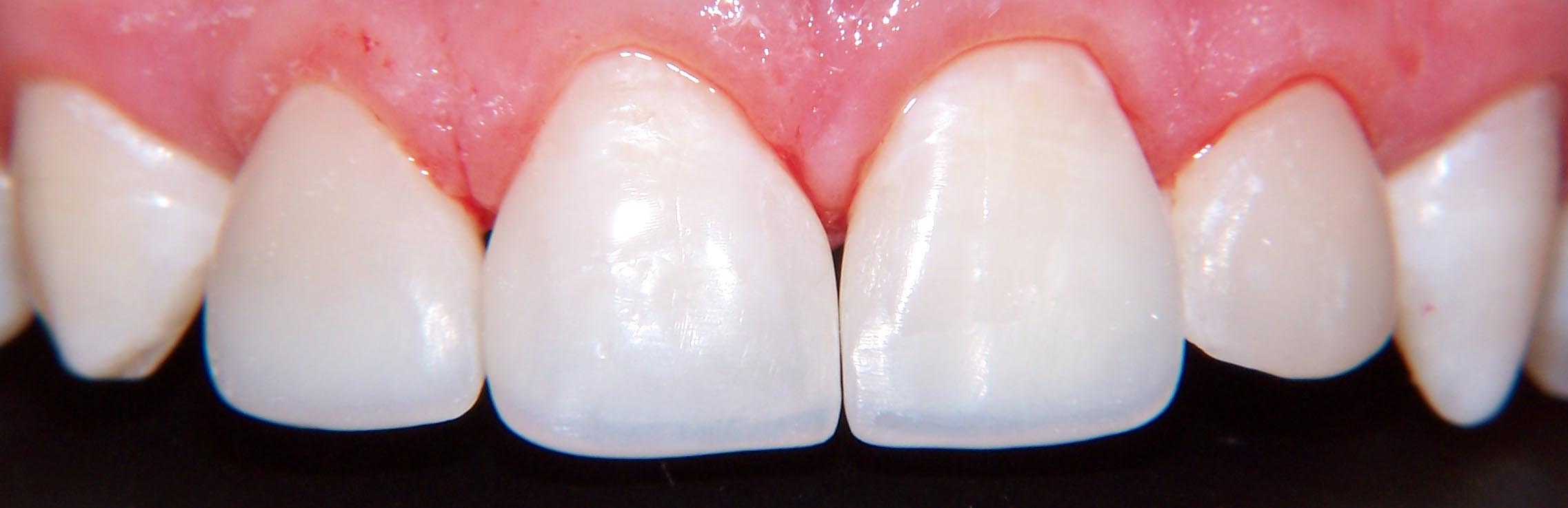
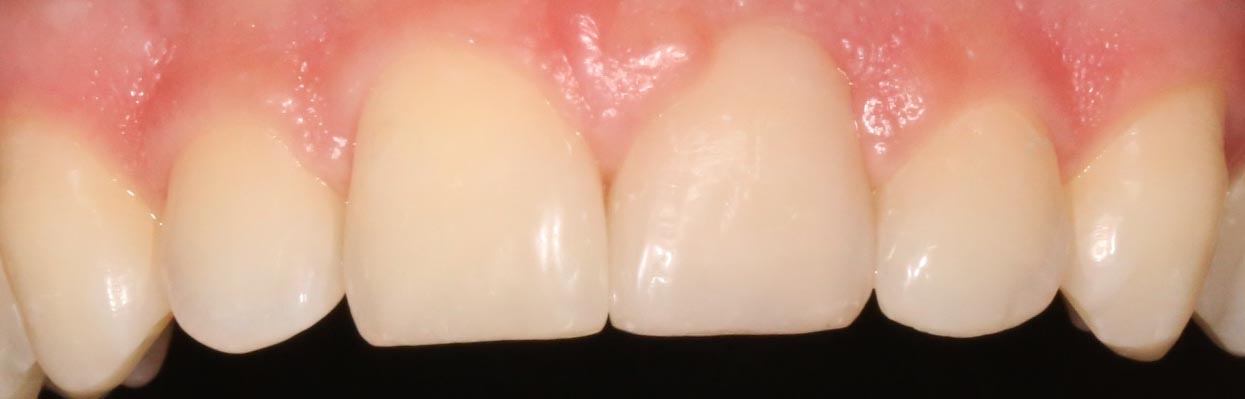
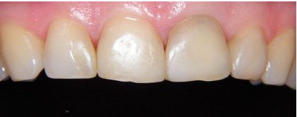
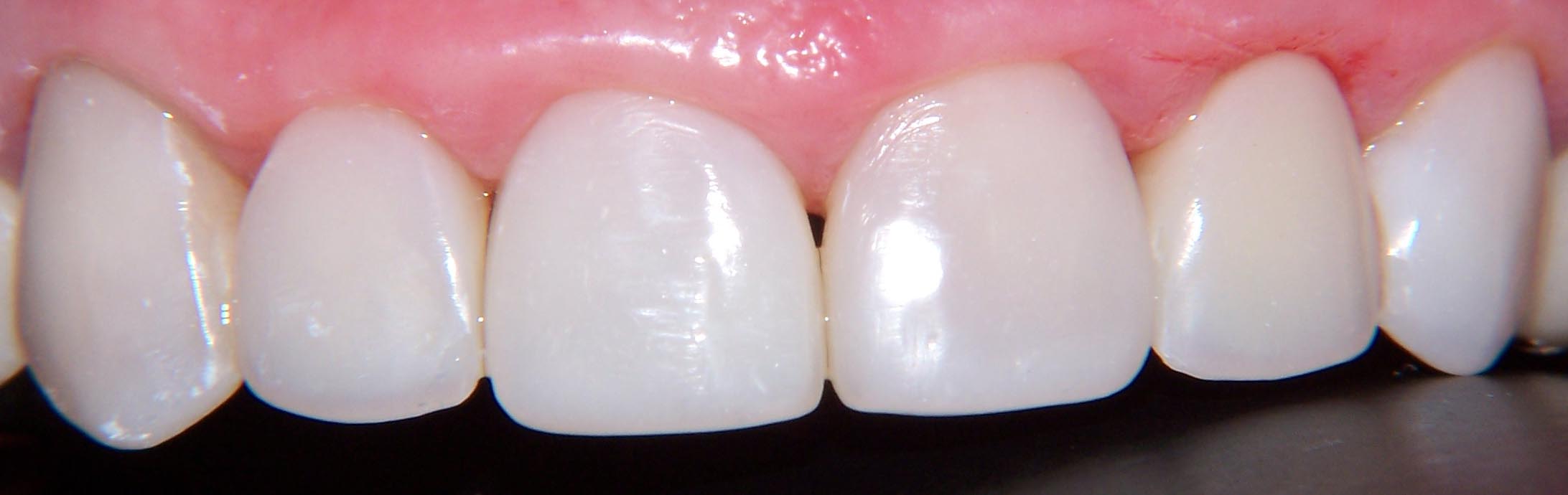
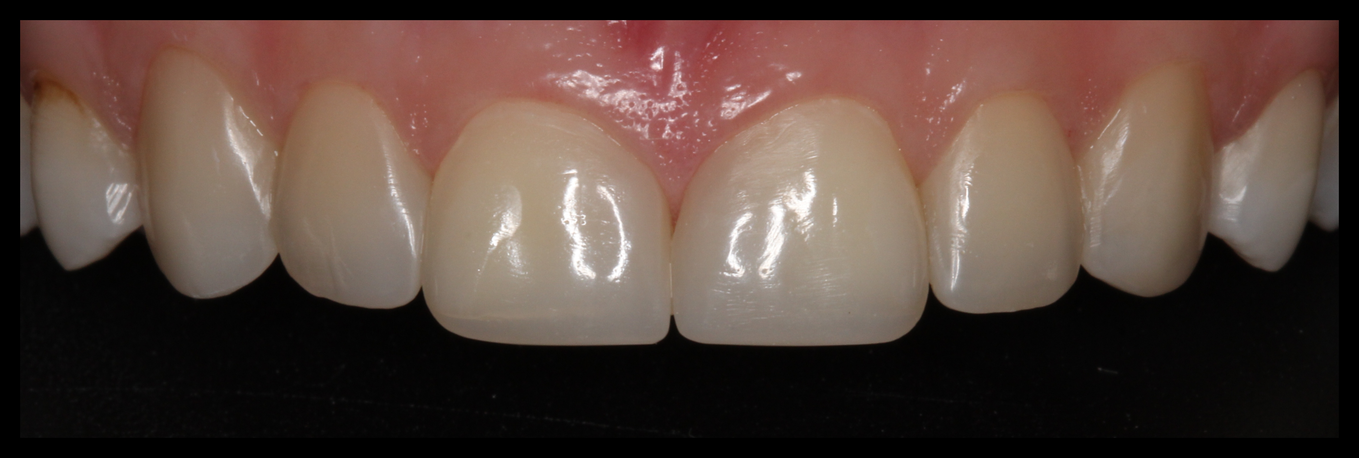
Gyd. Adrijos Juodikienės estetinio plombavimo darbų nuotraukos „prieš“ ir „po“
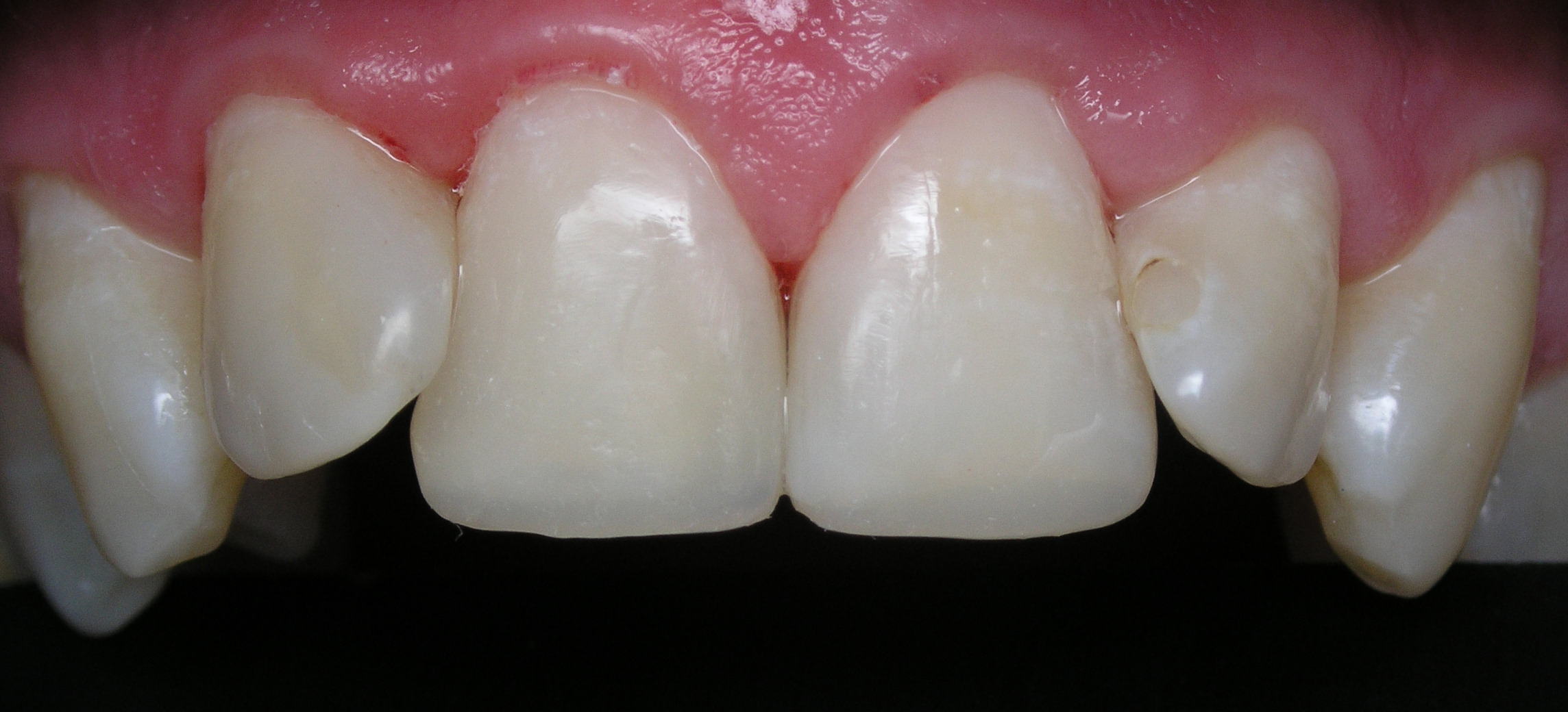
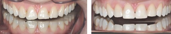
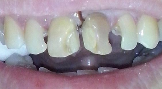
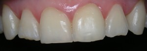
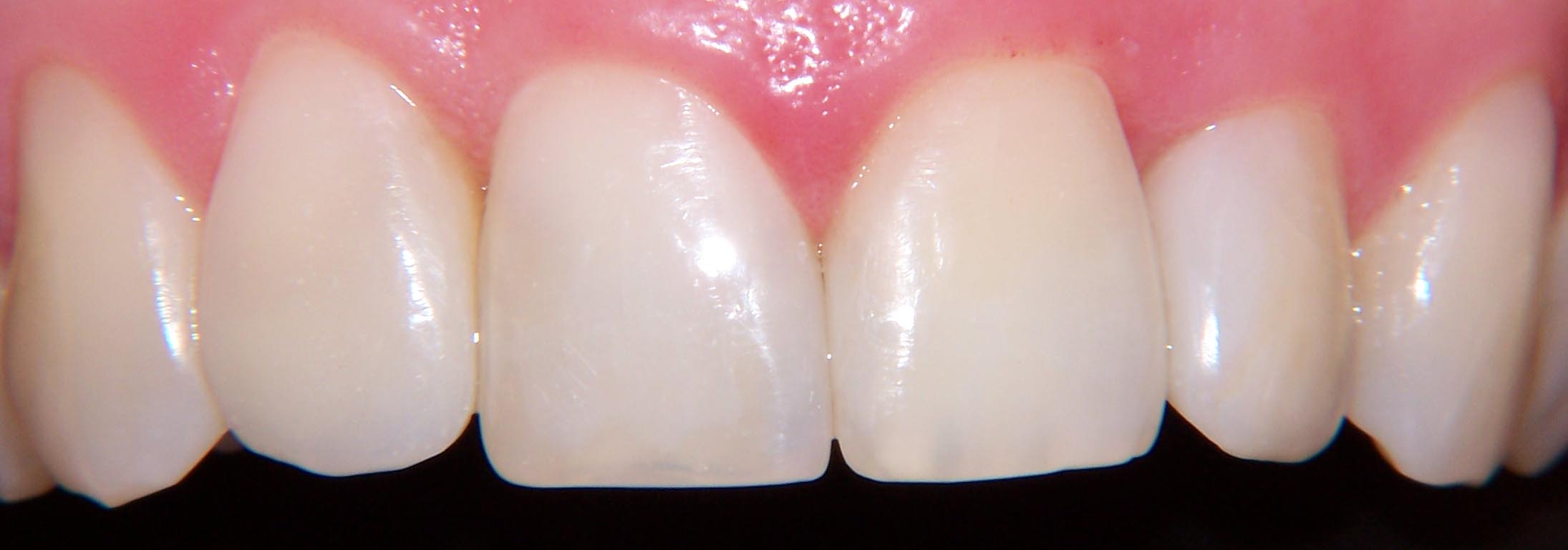
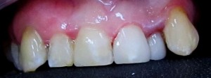
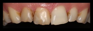
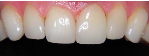
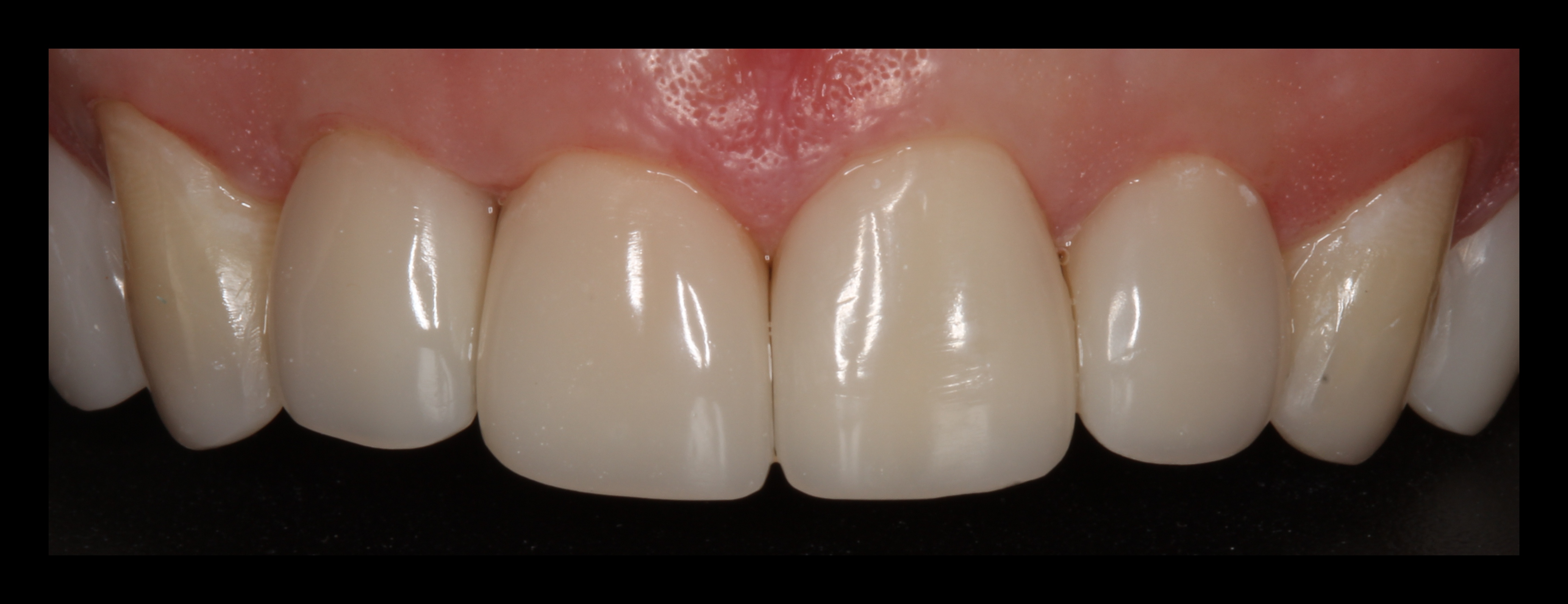
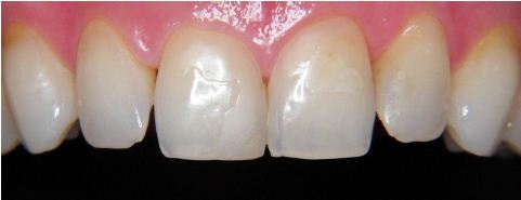
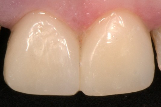
Prieš Po
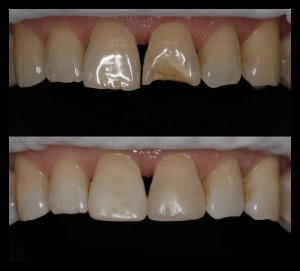
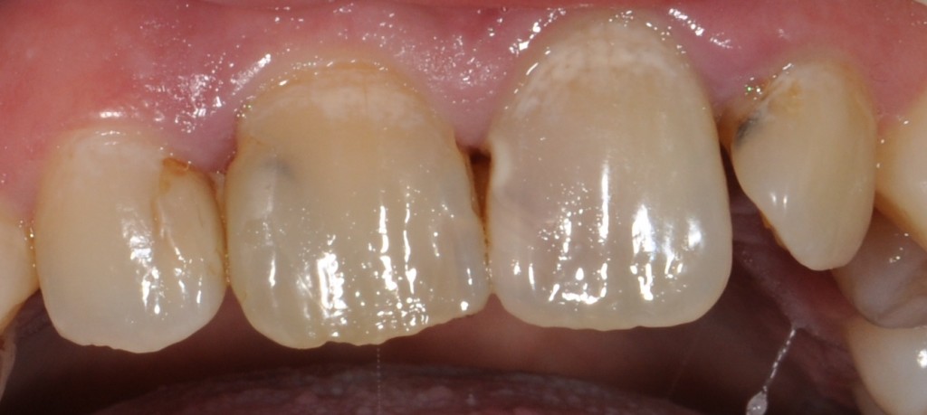
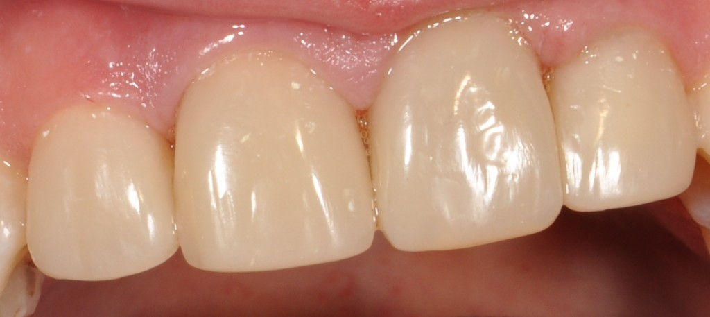
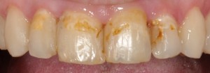
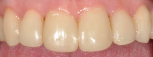
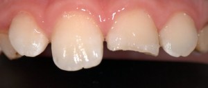
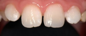
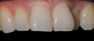
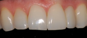
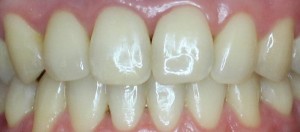
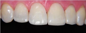
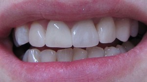
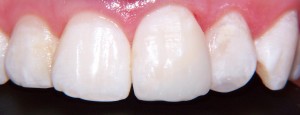
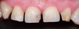
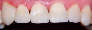
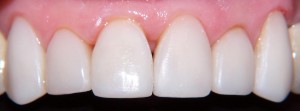
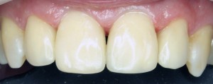
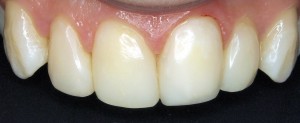
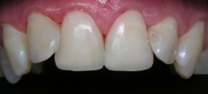
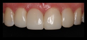
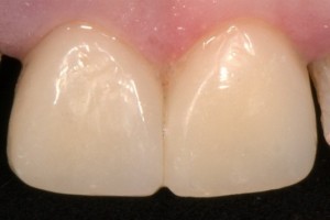
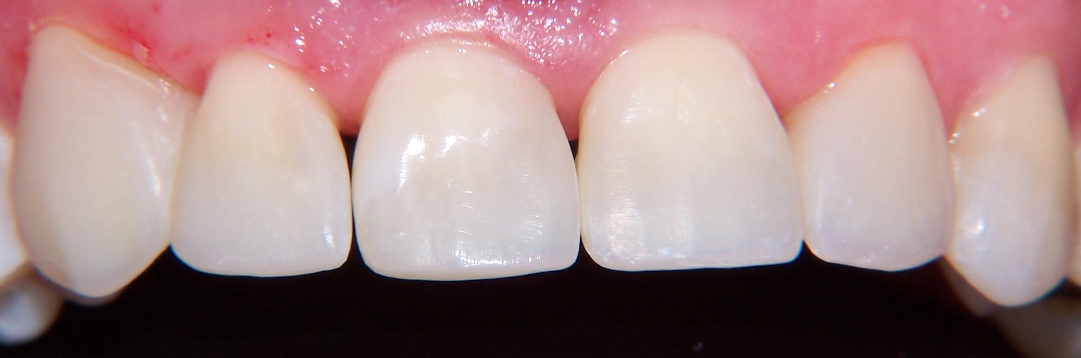
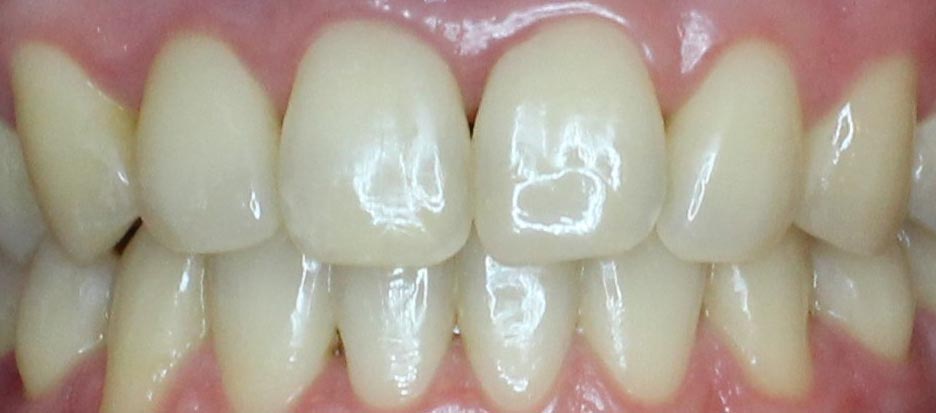
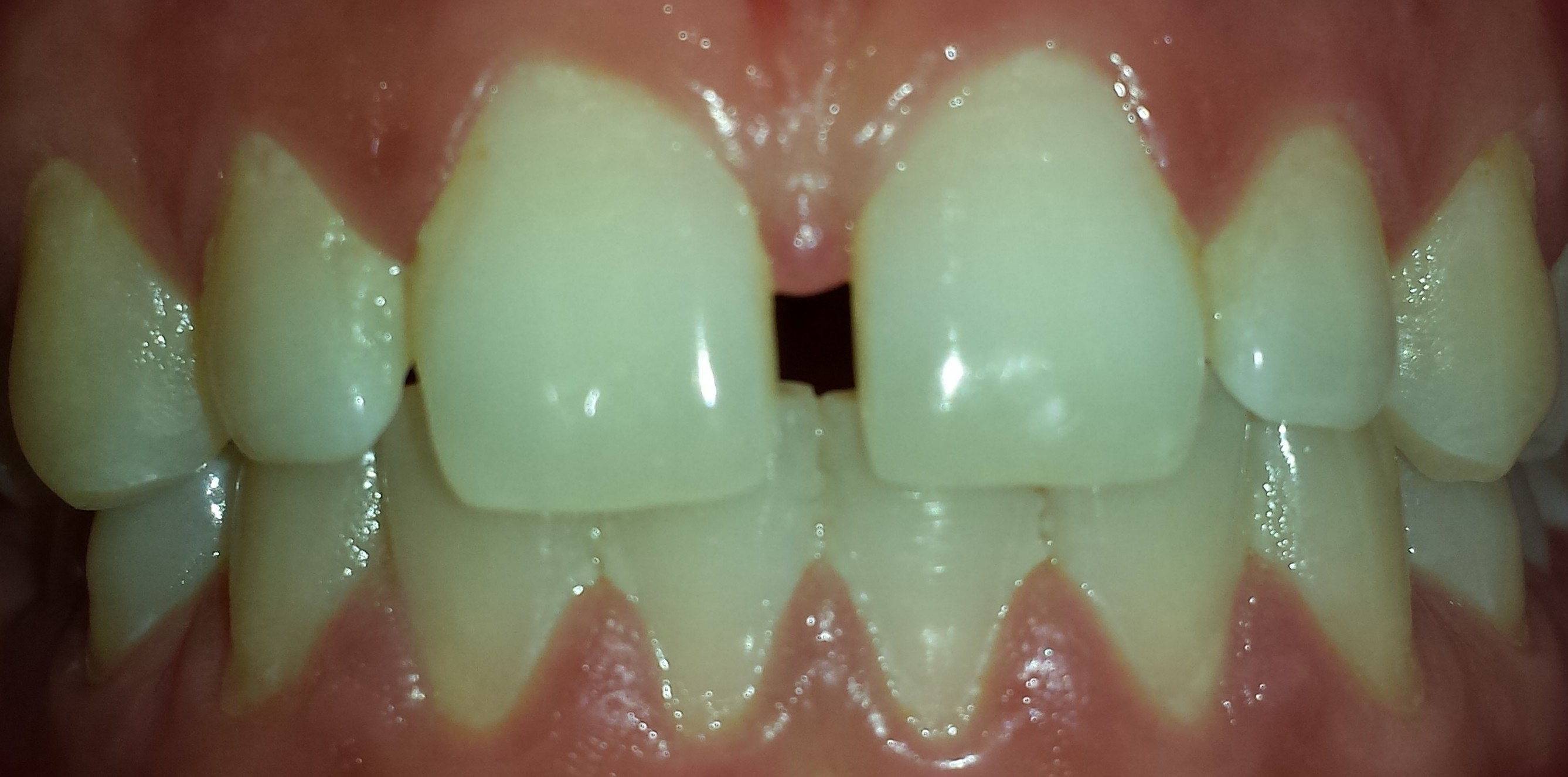
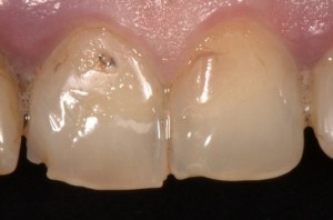
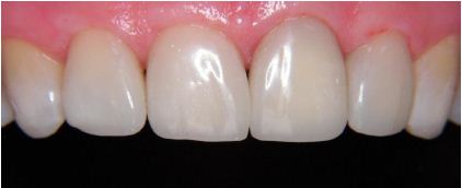
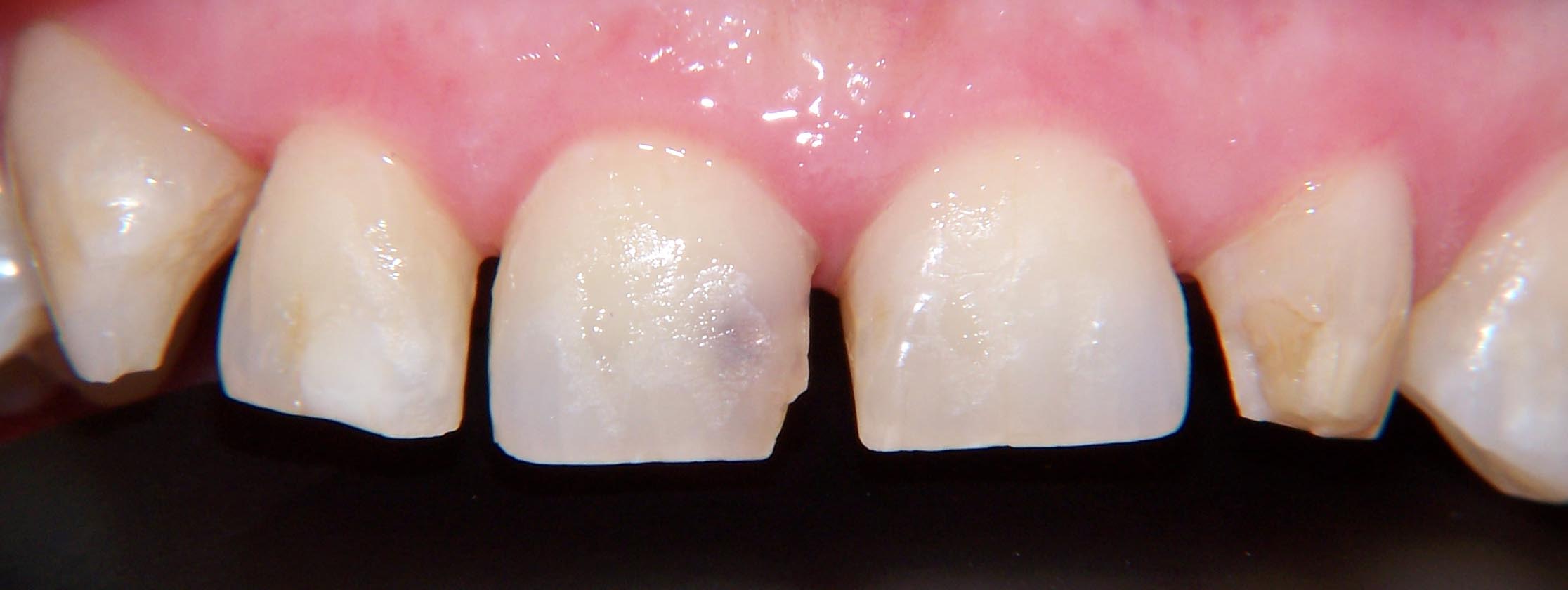
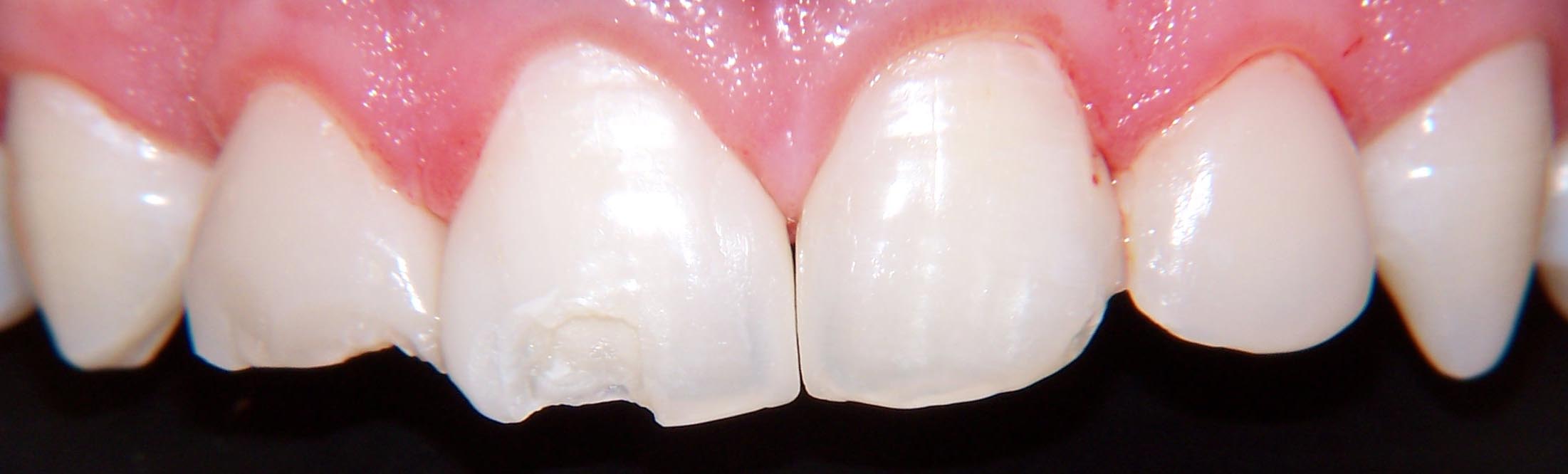
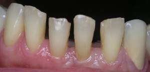
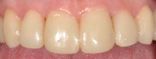
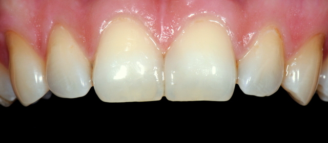
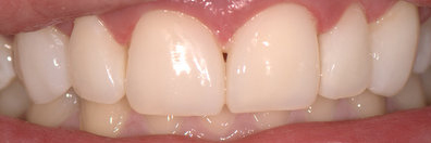
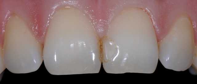
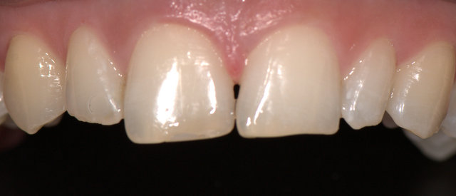
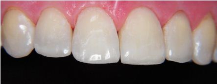
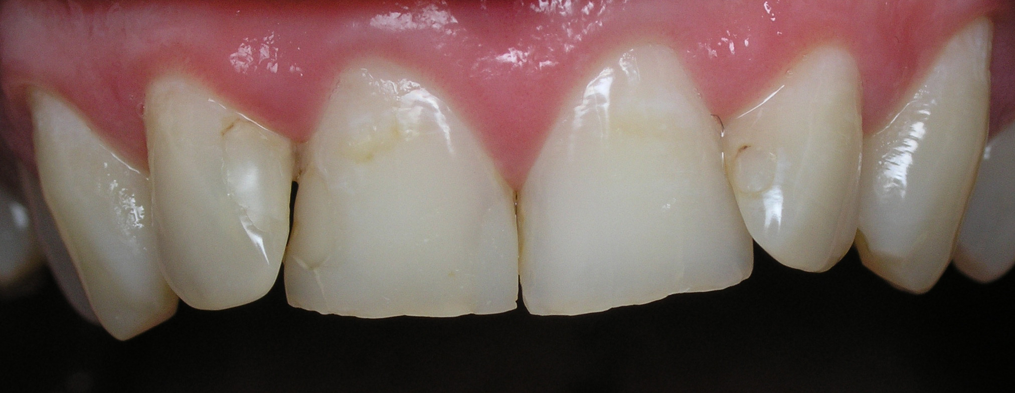
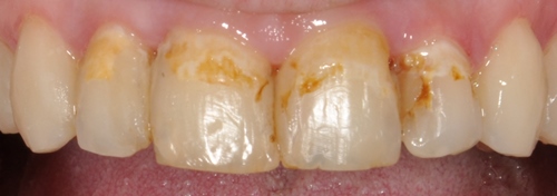
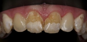
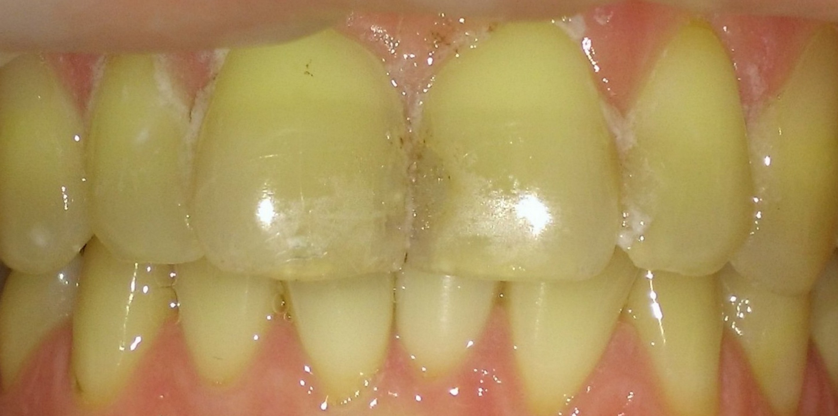
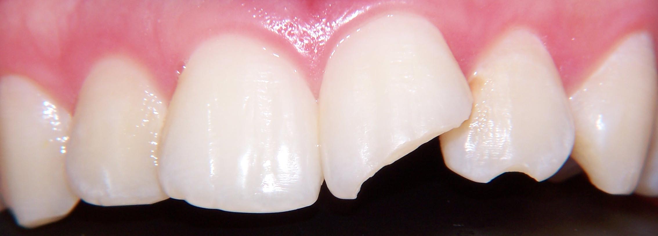
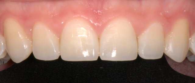
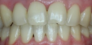
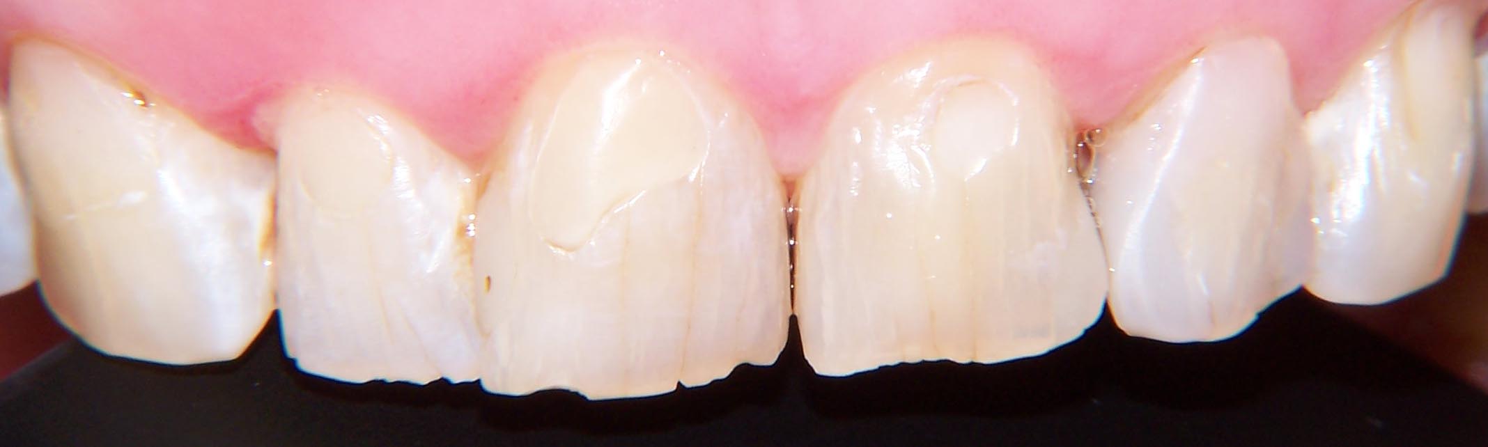
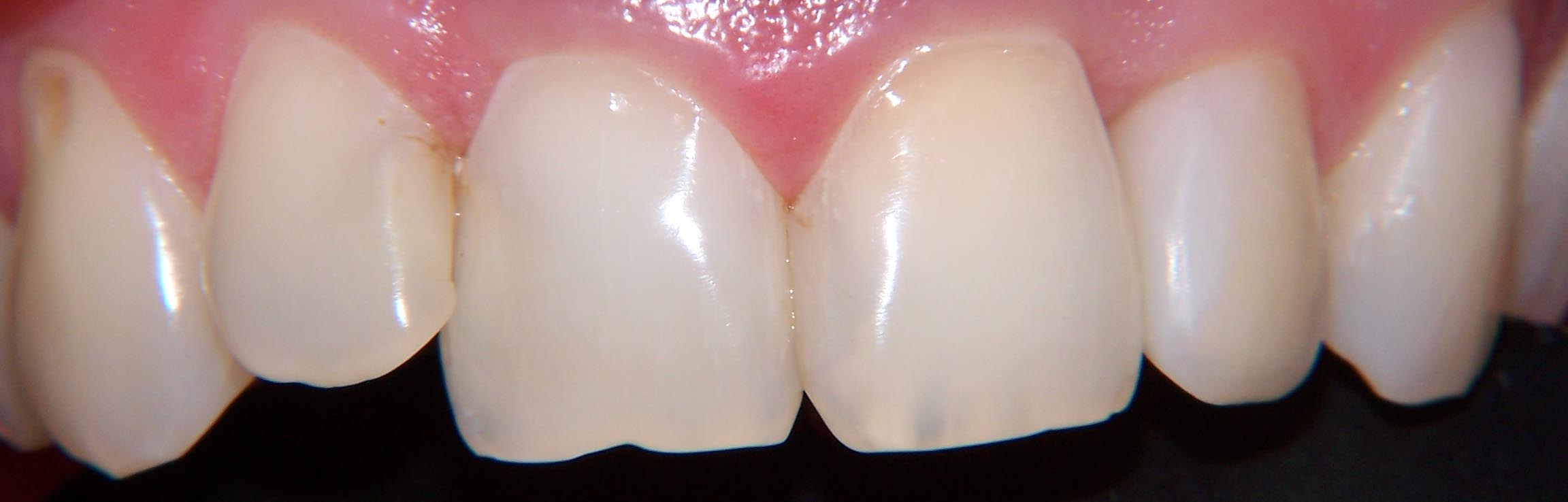
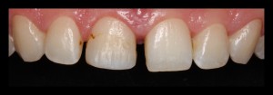
Gyd. Žilvino Budrevičiaus estetinio plombavimo darbų nuotraukos „prieš“ ir „po“
Prieš Po
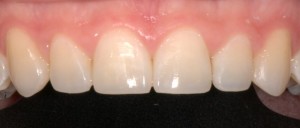
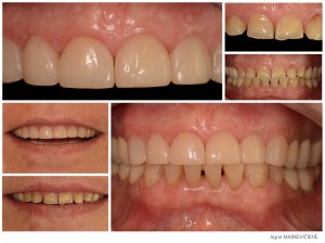
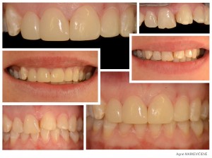
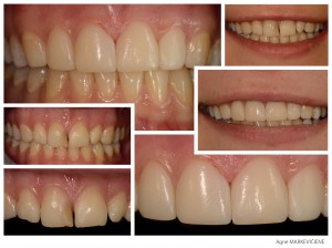
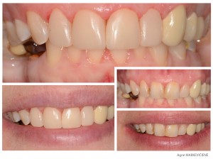
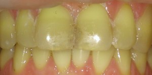
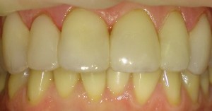
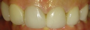
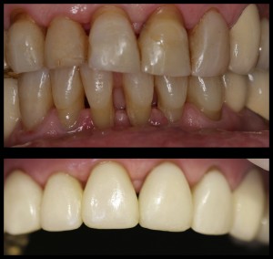
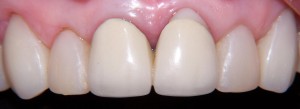
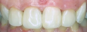
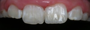
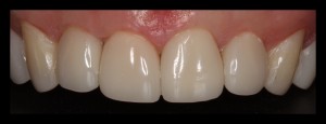
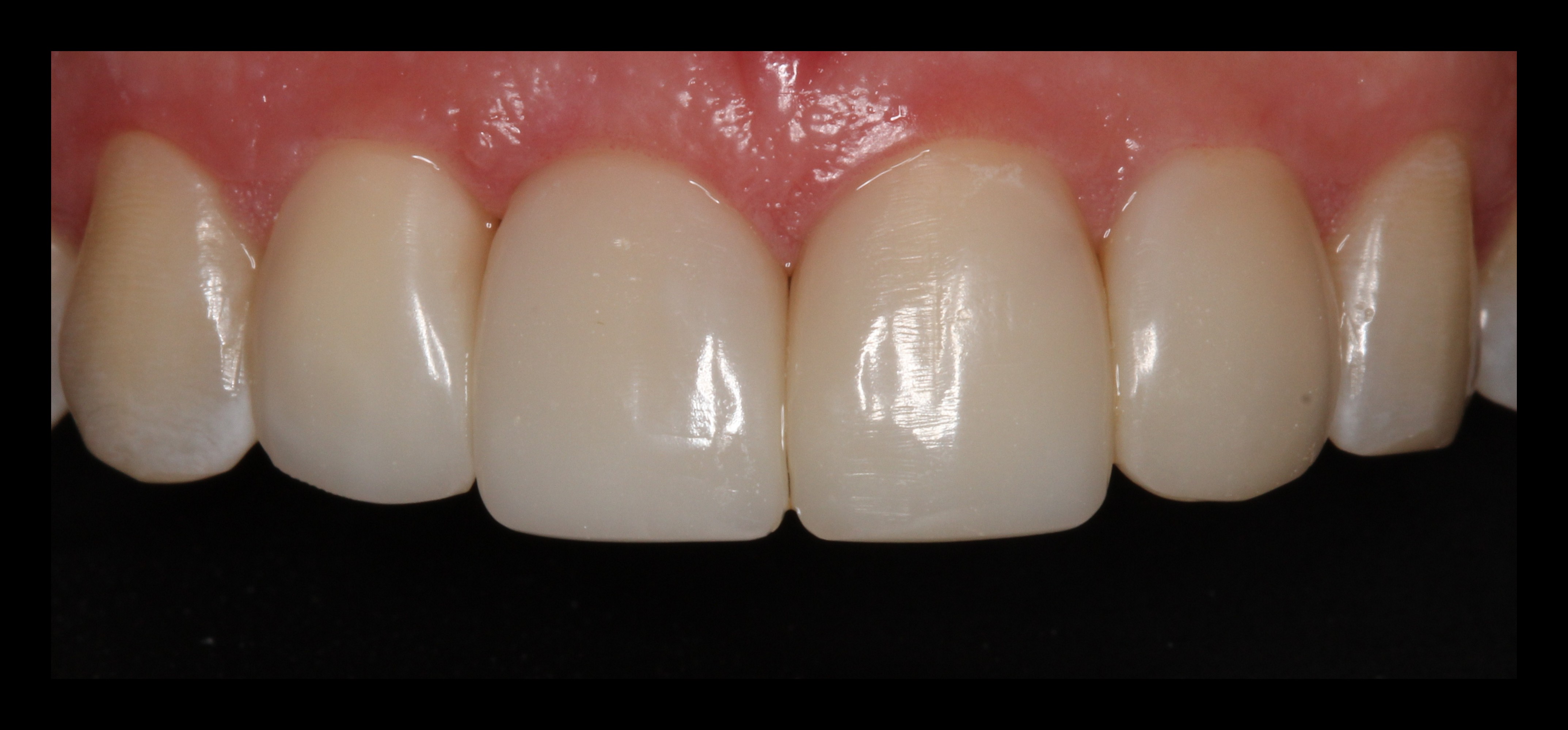
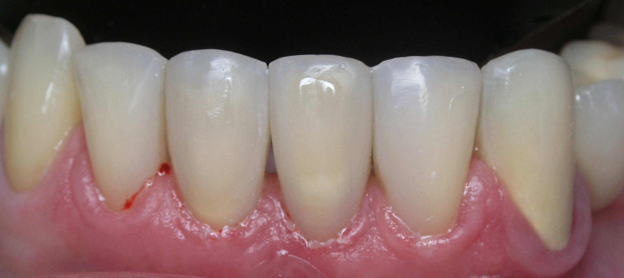
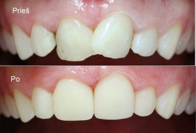
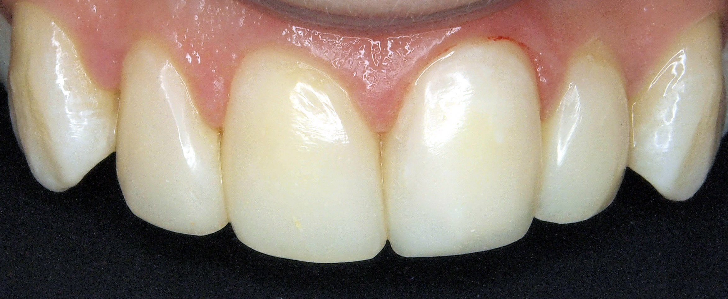
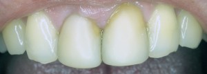
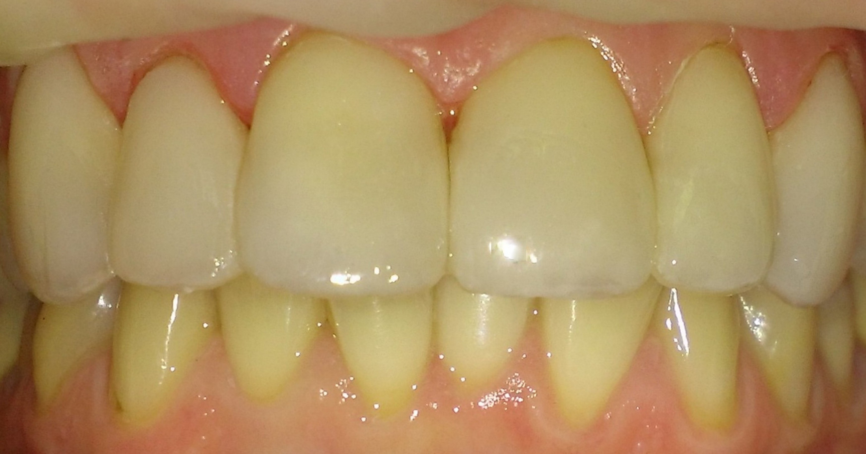
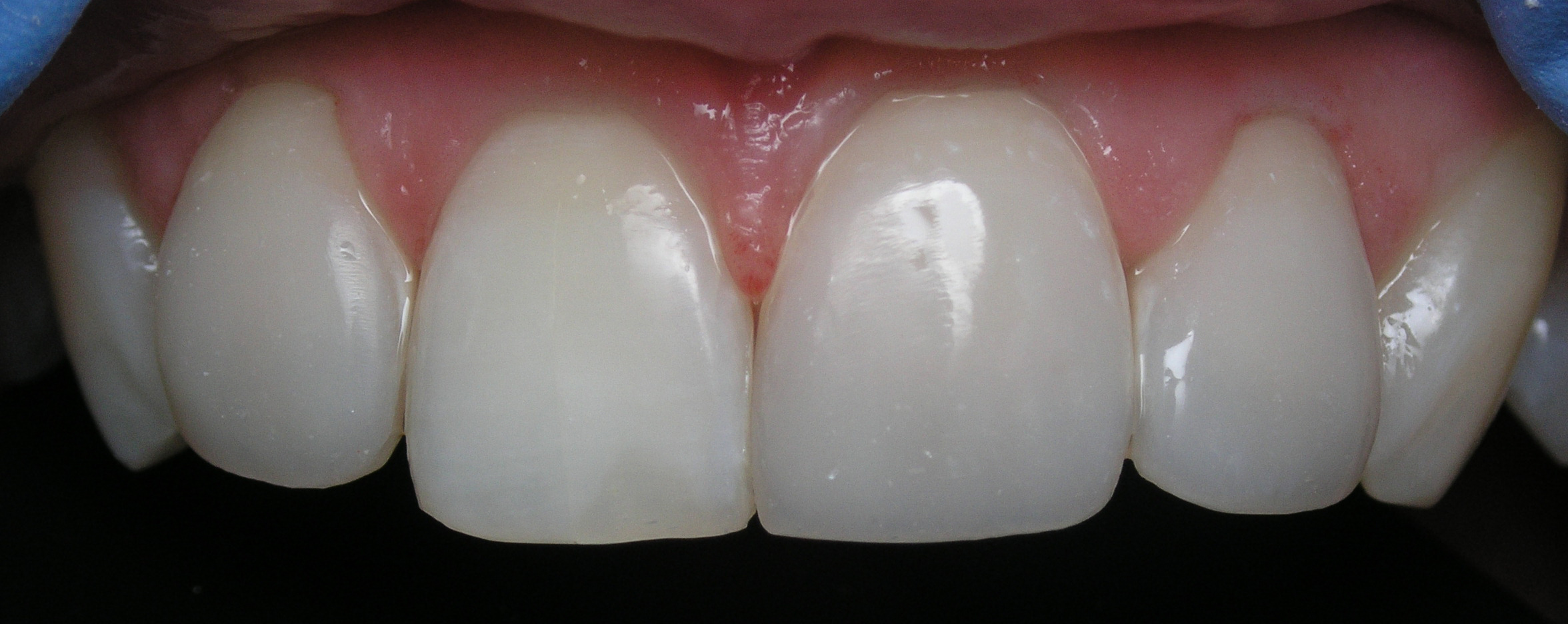
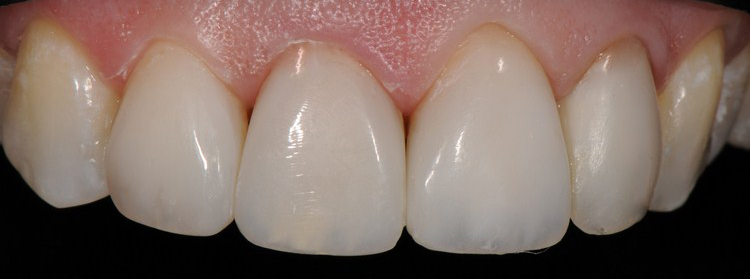
Gyd. Agnės Gairionytės estetinio plombavimo darbų nuotraukos „prieš“ ir „po“
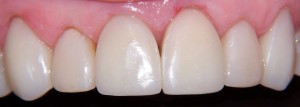
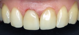
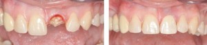
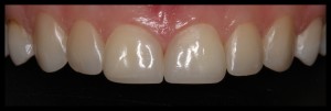
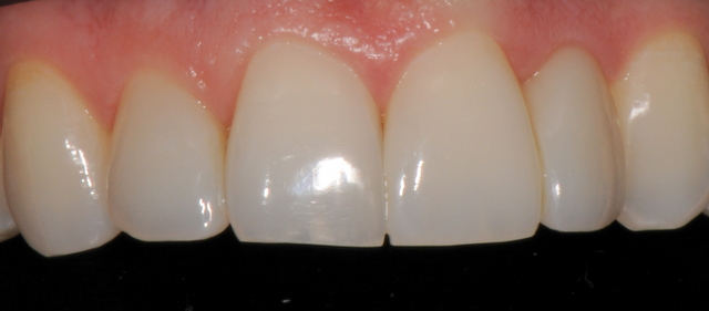
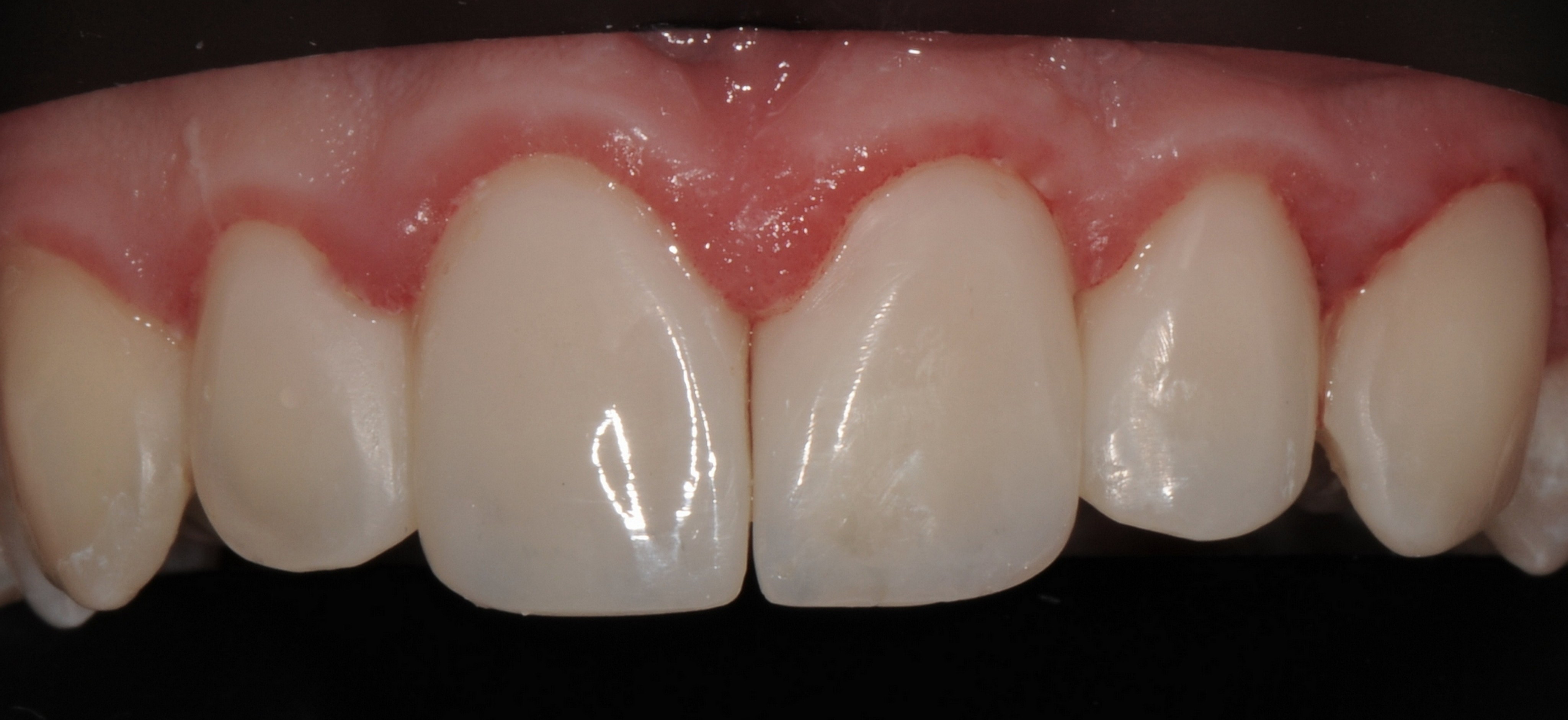
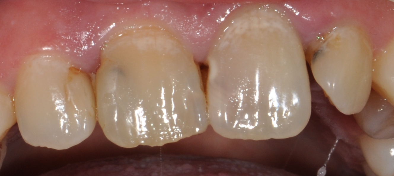
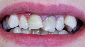
Gyd. Anastasijos Zidkovos estetinio plombavimo darbų nuotraukos „prieš“ ir „po“
Prieš Po
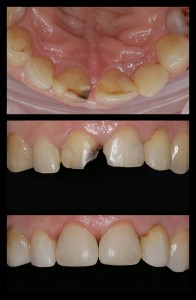
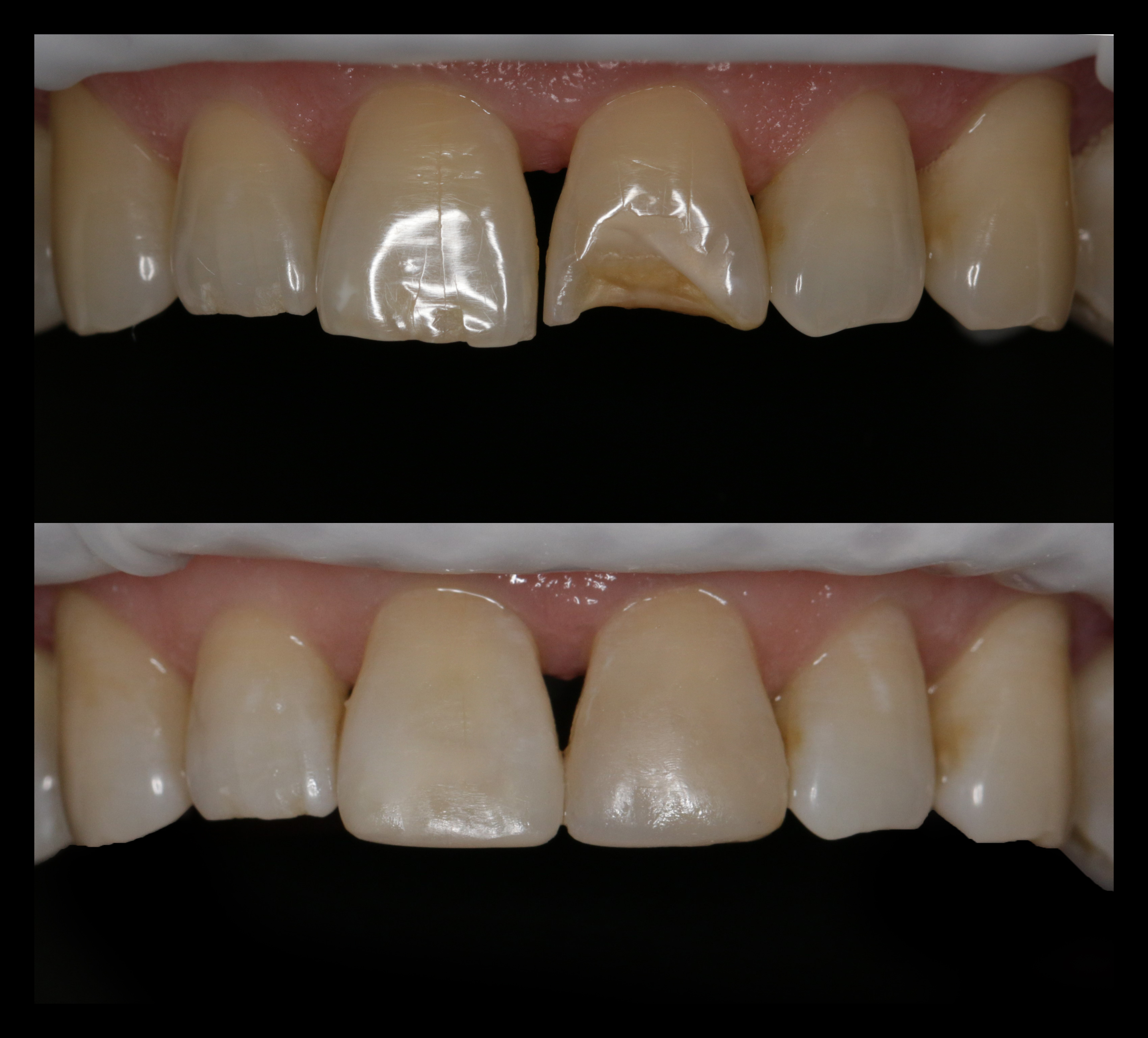
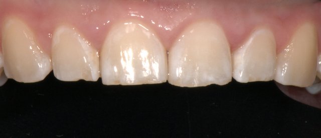
Gyd. Eivido Zakrio estetinio plombavimo darbų nuotraukos „prieš“ ir „po“
Prieš Po

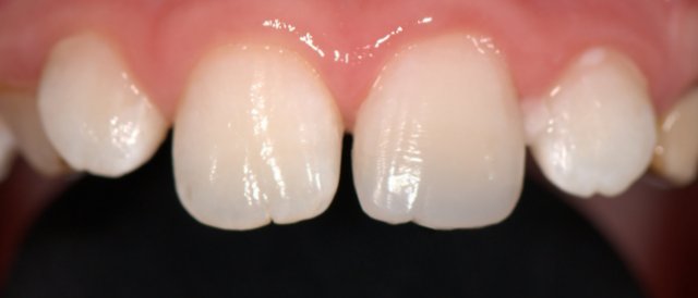
Gyd. Gerdos Valiukienės estetinio plombavimo darbų nuotraukos „prieš“ ir „po“
Prieš Po
Gyd. Giedrės Vaičiūnienės estetinio plombavimo darbų nuotraukos „prieš“ ir „po“
Prieš Po


Gyd. Ingos Mažeikienės estetinio plombavimo darbų nuotraukos „prieš“ ir „po“
Prieš Po
Gyd. Jurgitos Krasauskienės estetinio plombavimo darbų nuotraukos „prieš“ ir „po“
Prieš Po
Gyd. Natalijos FiodorovosRinzevičienės estetinio plombavimo darbų nuotraukos „prieš“ ir „po“
Prieš Po
Gyd.Neringos Gaurilcikienės estetinio plombavimo darbų nuotraukos „prieš“ ir „po“
Prieš Po
Gyd. Oksanos Kilinskienės estetinio plombavimo darbų nuotraukos „prieš“ ir „po“
Gyd. Sandros Cvilikaitės estetinio plombavimo darbų nuotraukos „prieš“ ir „po“
Prieš Po
Gyd. Sigitos Bliuvienės estetinio plombavimo darbų nuotraukos „prieš“ ir „po“
Gyd. Šarūno Čepo estetinio plombavimo darbų nuotraukos „prieš“ ir „po“
Prieš Po
Gyd. Jolantos Suslavičienės estetinio plombavimo darbų nuotraukos „prieš“ ir „po“
Prieš Po
Gyd. Ingos Linkytės estetinio plombavimo darbų nuotraukos „prieš“ ir „po“
Prieš Po






























































































